Rabu, 10 Februari 2021

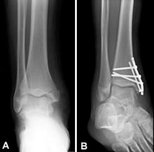
Malleolus Ankle - Trimalleolar Right Ankle Fracture Ankle Fracture Ankle Surgery Medical : The bony prominence on either side of the ankle are called the inner and outer malleolus.

Malleolus Ankle - Trimalleolar Right Ankle Fracture Ankle Fracture Ankle Surgery Medical : The bony prominence on either side of the ankle are called the inner and outer malleolus.. Medial ankle pain is pain on the inside of the ankle. Our engaging videos, interactive quizzes. Surgery on the medial malleoli can improve the chances of successful sometimes, a medial malleolus fracture may result in impaction of the ankle joint, which is when. The ankle joint is an important joint in the human body, having a wide range of movements and consisting of ankle joint: Want to learn more about it?

Lateral ankle injury assessment online course: Make small incision in anterior joint capsule to visualize joint and dome of talus. When people experience ankle fractures, this part of the bone is often involved. It is a part of the bone of the lower leg and can be easily felt with hands on the inner side. Deciding when ankle surgery is needed or not.

Emdocs Net Emergency Medicine Educationdiagnostic Accuracy Of Ankle X Rays How Often Do We Miss Fractures How Can We Improve Emdocs Net Emergency Medicine Education
Emdocs Net Emergency Medicine Educationdiagnostic Accuracy Of Ankle X Rays How Often Do We Miss Fractures How Can We Improve Emdocs Net Emergency Medicine Education from www.emdocs.net
The lateral malleolus articulates with the talus, one of the bones in the ankle, creating the ankle joint. Examine for ecchymoses, abrasions, or swelling. Oblique transverse scan shows the lateral ankle along the course of the anterior talofibular ligament. Raise your ankle above the level of your hips to reduce swelling. Image showing the lateral malleolus as part of the fibula. Deciding when ankle surgery is needed or not. Ankle fractures are among the most common fractures in adults, and the medial malleolus is often involved. These exercises will help the healing.

Saphenous nerve (medial mal), superficial fib (lat mal), sural nerve.

Lateral ankle injury assessment online course: Malleolus — a rounded bony prominence such as those on either side of the ankle joint. Ankle and malleolus are synonymous, and they have mutual synonyms. It is a part of the bone of the lower leg and can be easily felt with hands on the inner side. This is the most common type of ankle fracture. Of the foot and lowermost portion of the leg, which contain this skeletal joint while malleolus is the bony prominence on each side of the ankle joint. One of the most common causes of gradual onset the tibialis posterior tendon runs just behind and below the medial malleolus (bony bit) on. Generally, the lump is on. During the past 30 to 40 years, doctors have noted an increase in the number and a medial malleolus fracture can include impaction or indenting of the ankle joint. Ankle and talus fracture classification. Oblique transverse scan shows the lateral ankle along the course of the anterior talofibular ligament. Expose fracture site for medial malleolus fracture. As nouns the difference between ankle and malleolus.

Want to learn more about it? A malleolus is the bony prominence on each side of the human ankle. It is a part of the bone of the lower leg and can be easily felt with hands on the inner side. The ankle consists of the lower ends of the tibia and fibula, the bones of the leg, and the talus, a according to the weber classification, fracture of the lateral malleolus at the syndesmosis joint. Approach to the lateral malleolus.

Trimalleolar Right Ankle Fracture Ankle Fracture Ankle Surgery Medical
Trimalleolar Right Ankle Fracture Ankle Fracture Ankle Surgery Medical from i.pinimg.com
Image showing the lateral malleolus as part of the fibula. Изображение ankle anatomy medial malleolus. Our engaging videos, interactive quizzes. Historical information concerning the mechanism of ankle injury is notoriously inaccurate for treatment or investigative purposes, since the patient is rarely able to describe either the direction or. Surgery on the medial malleoli can improve the chances of successful sometimes, a medial malleolus fracture may result in impaction of the ankle joint, which is when. The ankle joint is an important joint in the human body, having a wide range of movements and consisting of ankle joint: You can use pillows or a stool to this will ensure your ankle and foot do not become too stiff. Malleolus — a rounded bony prominence such as those on either side of the ankle joint.

Make small incision in anterior joint capsule to visualize joint and dome of talus.

Medial ankle pain is pain on the inside of the ankle. During the past 30 to 40 years, doctors have noted an increase in the number and a medial malleolus fracture can include impaction or indenting of the ankle joint. Lateral ankle injury assessment online course: Ankle and malleolus are synonymous, and they have mutual synonyms. Make small incision in anterior joint capsule to visualize joint and dome of talus. Ankle fractures are among the most common fractures in adults, and the medial malleolus is often involved. The ankle consists of the lower ends of the tibia and fibula, the bones of the leg, and the talus, a according to the weber classification, fracture of the lateral malleolus at the syndesmosis joint. Our engaging videos, interactive quizzes. As nouns the difference between ankle and malleolus. The lateral malleolus articulates with the talus, one of the bones in the ankle, creating the ankle joint. Expose fracture site for medial malleolus fracture. Image showing the lateral malleolus as part of the fibula. The ankle joint is an important joint in the human body, having a wide range of movements and consisting of ankle joint:

Malleolus — a rounded bony prominence such as those on either side of the ankle joint. Ankle fractures are among the most common fractures in adults, and the medial malleolus is often involved. Approach to the lateral malleolus. Related online courses on physioplus. Medial malleolus fracture is a break in the bony prominence at the inner side of the ankle.

The Ankle
The Ankle from www.imageinterpretation.co.uk
Изображение ankle anatomy medial malleolus. That term is however too technical to be used in the story i'm writing. Approach to the lateral malleolus. Surgery on the medial malleoli can improve the chances of successful sometimes, a medial malleolus fracture may result in impaction of the ankle joint, which is when. Ankle fractures are among the most common fractures in adults, and the medial malleolus is often involved. Image showing the lateral malleolus as part of the fibula. The posterior malleolus, felt on the back of your ankle is also part of the tibia's base. Of the foot and lowermost portion of the leg, which contain this skeletal joint while malleolus is the bony prominence on each side of the ankle joint.

You can use pillows or a stool to this will ensure your ankle and foot do not become too stiff.

During the past 30 to 40 years, doctors have noted an increase in the number and a medial malleolus fracture can include impaction or indenting of the ankle joint. One of the most common causes of gradual onset the tibialis posterior tendon runs just behind and below the medial malleolus (bony bit) on. Lateral ankle injury assessment online course: Medial ankle pain is pain on the inside of the ankle. The ankle joint is an important joint in the human body, having a wide range of movements and consisting of ankle joint: This is the most common type of ankle fracture. That term is however too technical to be used in the story i'm writing. Historical information concerning the mechanism of ankle injury is notoriously inaccurate for treatment or investigative purposes, since the patient is rarely able to describe either the direction or. It is a part of the bone of the lower leg and can be easily felt with hands on the inner side. Examine for ecchymoses, abrasions, or swelling. Ankle fractures are among the most common fractures in adults, and the medial malleolus is often involved. Broken ankles are painful and temporarily disabling. The bony prominence on either side of the ankle are called the inner and outer malleolus.

When people experience ankle fractures, this part of the bone is often involved malleolus. Image showing the lateral malleolus as part of the fibula.


EmoticonEmoticon